Микропрепарат легкого при пневмоцистозе

Микропрепарат легкого при пневмоцистозе
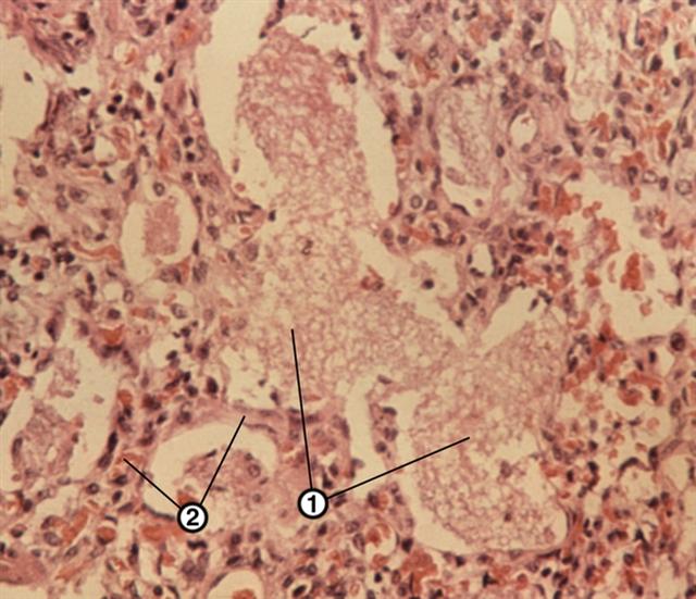
Рис. 7. Микропрепарат легкого при пневмоцистозе: в просветах альвеол видны скопления пневмоцист (1), межальвеолярные перегородки (2) несколько утолщены, инфильтрированы лимфоцитами и плазмоцитами; окраска гематоксилином и эозином; ´600.