Девочка с полиоссальной формой фиброзной остеодисплазии

Девочка с полиоссальной формой фиброзной остеодисплазии
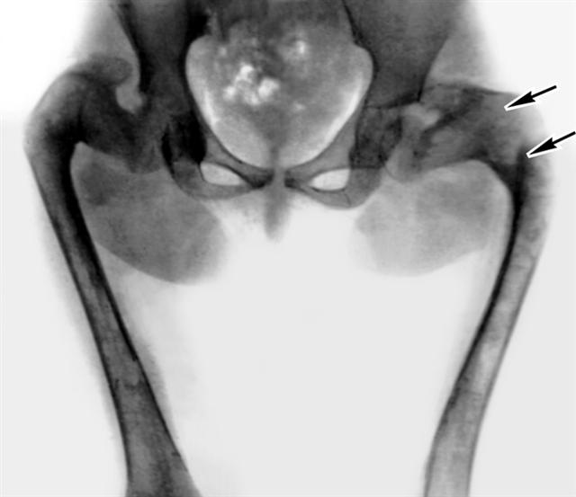
Рис. 1б). Девочка с полиоссальной формой фиброзной остеодисплазии: на рентгенограмме таза и бедренных костей отмечаются деформации бедренных костей по типу «пастушьей палки», структура пораженных костей напоминает матовое стекло с участками разрежения (указаны стрелками), кортикальный слой не истончен.