Микропрепарат створки митрального клапана при эндокардите

Микропрепарат створки митрального клапана при эндокардите

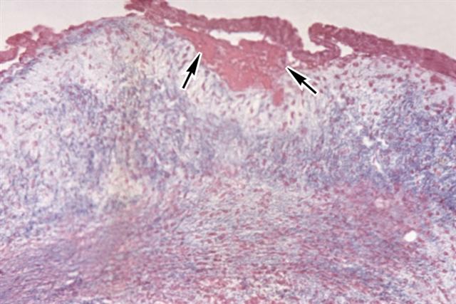
Рис. 1. Микропрепарат створки митрального клапана при эндокардите: отложение фибрина (указано стрелками) на отечной створке; окраска по Маллори; ´100.


Перейти к статье «Эндокардит»