Рентгенограмма левого тазобедренного сустава при диспластическом коксартрозе III степени

Рентгенограмма левого тазобедренного сустава при диспластическом коксартрозе III степени
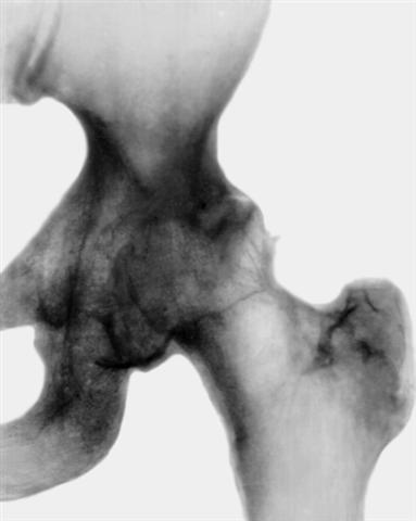
Рис. 1. Рентгенограмма левого тазобедренного сустава (прямая проекция) при диспластическом коксартрозе III степени: смещение головки бедренной кости наружу, уплощение суставных поверхностей и сужение суставной щели, остеофиты по краям вертлужной впадины, параартикулярный остеосклероз, множественные кистовидные образования в наружном отделе крыши вертлужной впадины и головке бедренной кости.