Микропрепарат почки при остром гнойном пиелонефрите

Микропрепарат почки при остром гнойном пиелонефрите

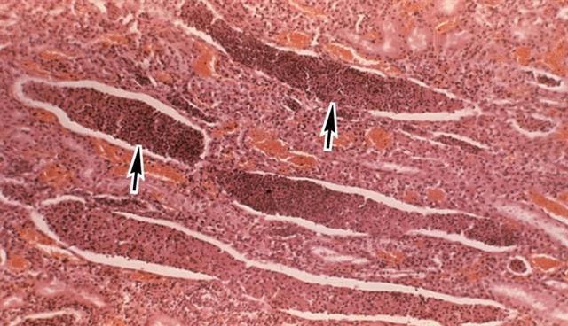
Рис. 3а). Микропрепарат почки при остром гнойном пиелонефрите: белково-лейкоцитарные цилиндры в почечных канальцах (указаны стрелками); ´80.


Перейти к статье «Пиелонефрит»