Аксиальная компьютерная томограмма при метастазе аденокарциномы почки в чешую затылочной кости

Аксиальная компьютерная томограмма при метастазе аденокарциномы почки в чешую затылочной кости
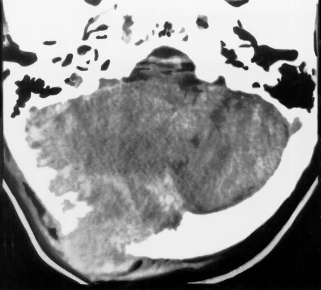
Рис. 12. Аксиальная компьютерная томограмма при метастазе аденокарциномы почки в чешую затылочной кости: справа видна локальная деструкция кости, интракраниальные узлы опухоли и в прилежащих мягких тканях головы.