Рентгенограмма нижних конечностей ребенка

Рентгенограмма нижних конечностей ребенка
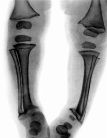
Рис. 5. Рентгенограмма нижних конечностей ребенка 1 года 5 месяцев: нечеткость костной структуры, расширены зоны предварительного обызвествления, неровный, бахромчатый субхондральный контур метафизов.