Микропрепараты некоторых опухолей забрюшинного пространства: тератокарцинома

Микропрепараты некоторых опухолей забрюшинного пространства: тератокарцинома
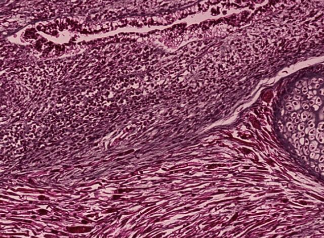
Рис. 8. Микропрепараты некоторых опухолей забрюшинного пространства: тератокарцинома; тройная окраска по Массону; ´100.