Микропрепарат поджелудочной железы при смешанной форме муковисцидоза

Микропрепарат поджелудочной железы при смешанной форме муковисцидоза
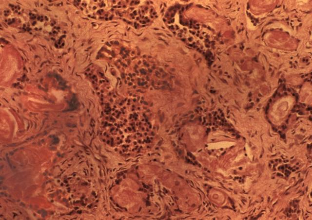
Рис. 1. Микропрепарат поджелудочной железы при смешанной форме муковисцидоза: 1 — расширенные и заполненные ацидофильным слоистым секретом междольковые и внутридольковые протоки; 2 — разрастания соединительной ткани. Окраска гематоксилином и эозином; ´80.