Микропрепараты некоторых опухолей забрюшинного пространства: фетальная липома

Микропрепараты некоторых опухолей забрюшинного пространства: фетальная липома
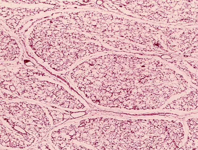
Рис. 2. Микропрепараты некоторых опухолей забрюшинного пространства: фетальная липома; окраска гематоксилином и эозином; ´50.