Рентгенограмма грудной клетки

Рентгенограмма грудной клетки
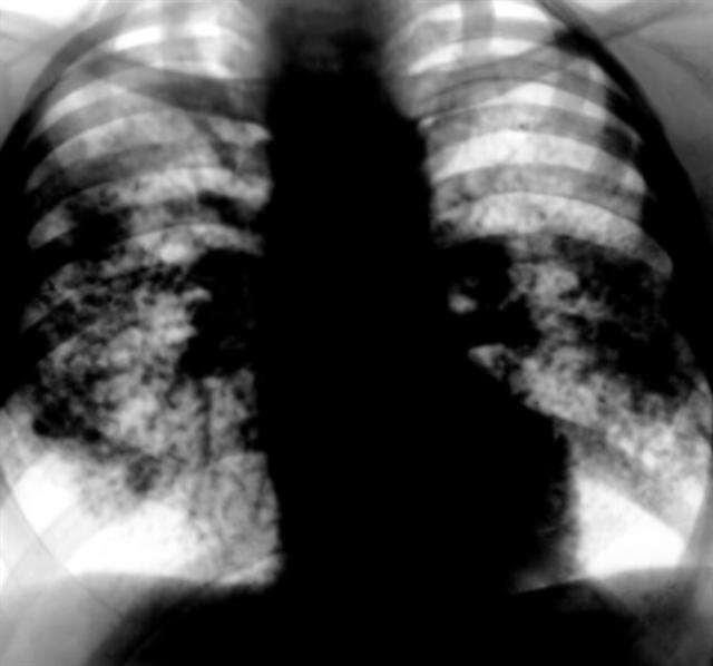
Рис. 4. Рентгенограмма грудной клетки при саркоидозе легких и внутригрудных лимфатических узлов: расширенные тени легочных корней формируются в основном увеличенными лимфатическими узлами, в средних и частично в нижних легочных полях видны множественные, местами сливающиеся очаговоподобные тени (картина диссеминации); прозрачность легких в области верхушек сохранена.