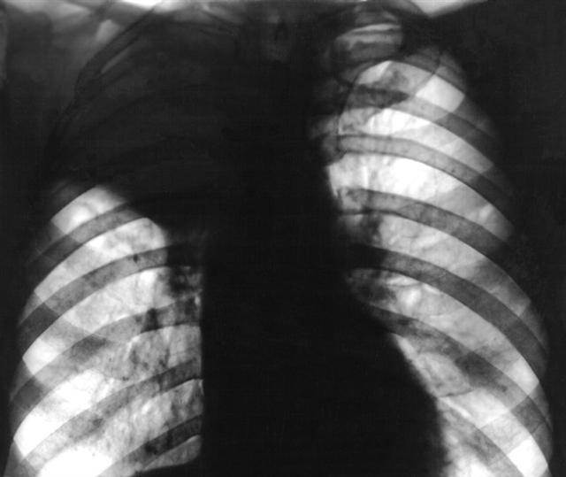
Рентгенограмма грудной клетки при ателектазе верхней доли правого легкого

Рентгенограмма грудной клетки при ателектазе верхней доли правого легкого

Рис. 2а). Рентгенограмма грудной клетки при ателектазе верхней доли правого легкого (прямая проекция): верхняя доля правого легкого уменьшена в объеме, гомогенно затенена.


Перейти к статье «Ателектаз лёгкого»