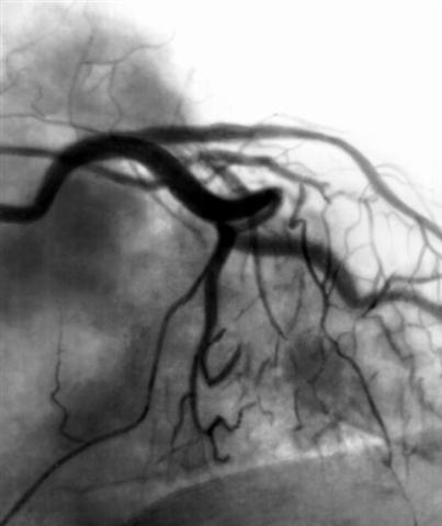
Коронарограммы при стенозе передней межжелудочковой ветви левой венечной артерии

Коронарограммы при стенозе передней межжелудочковой ветви левой венечной артерии
Рис. 1б). Коронарограммы при стенозе передней межжелудочковой ветви левой венечной артерии после рентгеноэндоваскулярной дилатации.