Рентгенограмма грудной клетки
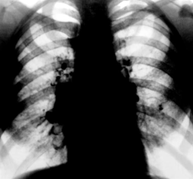
Рис. 3. Рентгенограмма грудной клетки при саркоидозе внутригрудных лимфатических узлов: тени легочных корней симметрично расширены, структура их резко изменена за счет сливающихся плотных крупных теней увеличенных лимфатических узлов.
Перейти к статье «
Саркоидоз
»