Рентгенограмма культи бедра при клостридиальной инфекции

Рентгенограмма культи бедра при клостридиальной инфекции

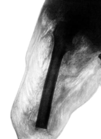
Рис. 4. Рентгенограмма культи бедра при клостридиальной инфекции: обширная газовая фрагментация практически нежизнеспособных мышц.


Перейти к статье «Анаэробная инфекция»