Томограмма головы больной с пролактиномой

Томограмма головы больной с пролактиномой
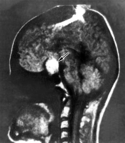
Рис. 3. Томограмма головы, полученная методом ЯМР-томографии (сагиттальный разрез), больной с пролактиномой (указана стрелкой).