Цистограмма при раке мочевого пузыря

Цистограмма при раке мочевого пузыря

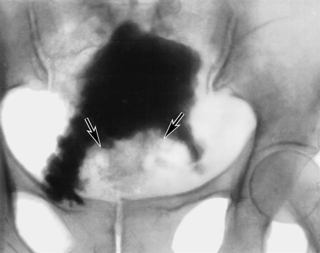
Рис. 4. Цистограмма при раке мочевого пузыря: стрелками указан крупный очаг поражения в области шейки мочевого пузыря.


Перейти к статье «Мочевой пузырь»