Компьютерная томограмма головы при субдуральной гематоме после черепно-мозговой травмы

Компьютерная томограмма головы при субдуральной гематоме после черепно-мозговой травмы

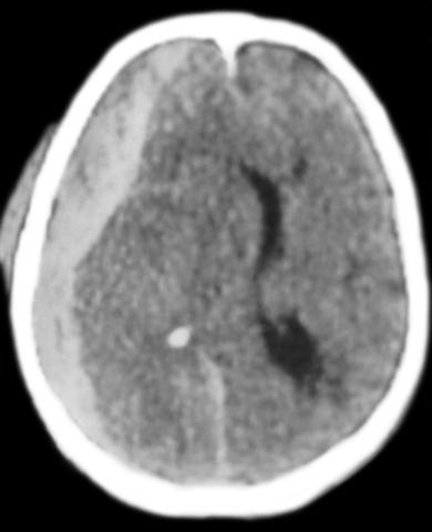
Рис. 1. Компьютерная томограмма головы при субдуральной гематоме после черепно-мозговой травмы.


Перейти к статье «Подоболочечные кровоизлияния»