Микропрепарат створки митрального клапана при эндокардите

Микропрепарат створки митрального клапана при эндокардите

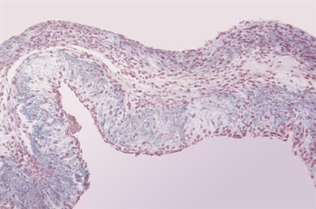
Рис. 2. Микропрепарат створки митрального клапана при эндокардите: отек ткани, инфильтрация полиморфно-ядерными гранулоцитами; окраска по Маллори; ´100.


Перейти к статье «Эндокардит»