Объемный пластиночный протез на верхнюю челюсть с телескопическим креплением

Объемный пластиночный протез на верхнюю челюсть с телескопическим креплением

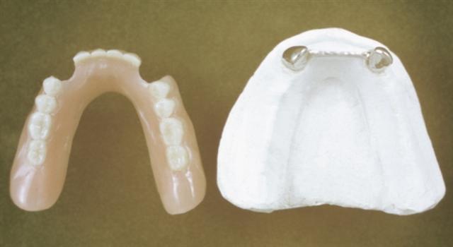
Рис. 10. Объемный пластиночный протез на верхнюю челюсть с телескопическим креплением.


Перейти к статье «Протезирование зубов»