Микропрепарат легкого при диффузном интерстициальном пневмосклерозе

Микропрепарат легкого при диффузном интерстициальном пневмосклерозе

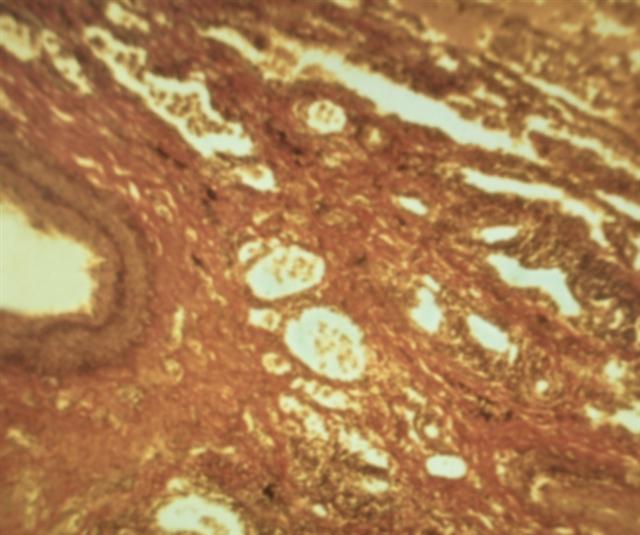
Рис. 2. Микропрепарат легкого при диффузном интерстициальном пневмосклерозе: межальвеолярные перегородки резко утолщены и склерозированы; окраска по Ван-Гизону; ´24.


Перейти к статье «Пневмосклероз»