Рентгенограмма грудной клетки больного саркоидозом легких

Рентгенограмма грудной клетки больного саркоидозом легких

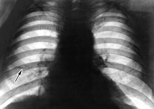
Рис. 4. Рентгенограмма грудной клетки (прямая прекция) больного саркоидозом легких: диффузное усиление и деформация легочного рисунка, дисковидный ателектаз (указан стрелкой).


Перейти к статье «Ателектаз лёгкого»