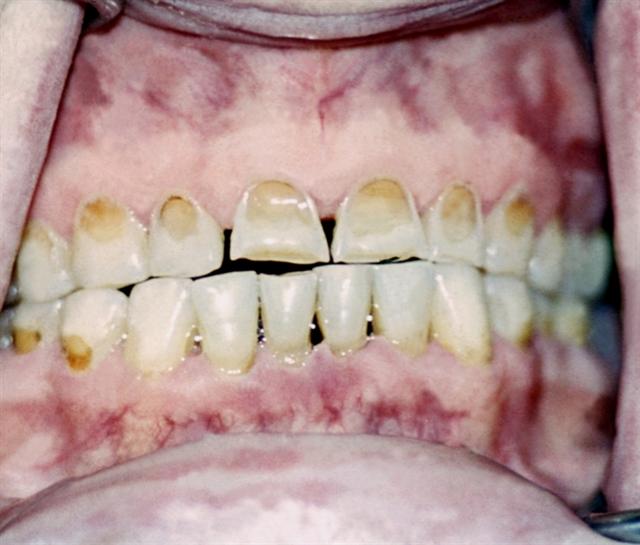
Эрозия эмали
Рис. 10. Эрозия эмали: на вестибулярных поверхностях зубов определяются дефекты эмали блюдцевидной формы.
Перейти к статье «
Зубы
»