Микропрепарат слизистой оболочки матки

Микропрепарат слизистой оболочки матки

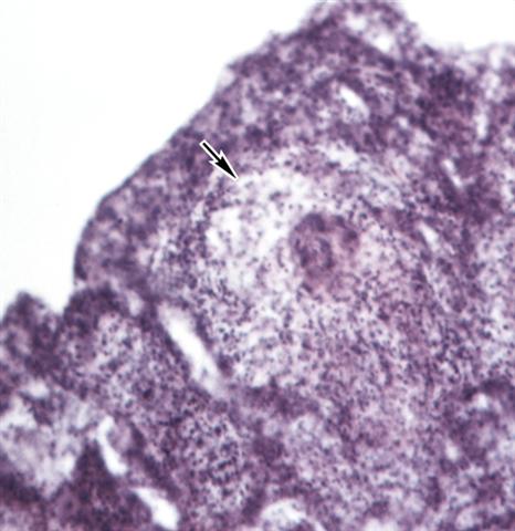
Рис. 13. Микропрепарат слизистой оболочки матки при очаговом туберкулезном эндометрите: в слизистой оболочке матки видна туберкулезная гранулема (указана стрелкой) с начинающимся распадом в центре; окраска гематоксилином и эозином; ´100.


Перейти к статье «Туберкулёз внелёгочный»