Компьютерные томограммы головы грудного ребенка с гидроцефалией

Компьютерные томограммы головы грудного ребенка с гидроцефалией
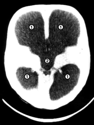
Рис. 4. Компьютерные томограммы головы грудного ребенка с гидроцефалией: на срезах, выполненных на разных уровнях, видно резкое расширение боковых (1) и третьего (2) желудочков.