Целиакограмма при хроническом панкреатите

Целиакограмма при хроническом панкреатите
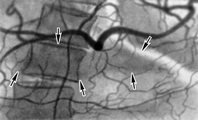
Рис. 3. Целиакограмма при хроническом панкреатите: отмечается увеличенная поджелудочная железа (указана стрелками) с усиленным кровоснабжением.