Ультрасонограммы верхней трети левой голени при околосуставной мягкотканной опухоли

Ультрасонограммы верхней трети левой голени при околосуставной мягкотканной опухоли
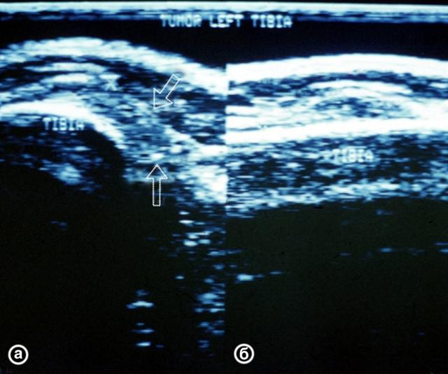
Рис. 28. Ультрасонограммы верхней трети левой голени (а — поперечная, б — продольная проекции) при околосуставной мягкотканной опухоли: опухоль указана стрелками.