Микропрепарат дистрофически измененной плаценты при доношенной беременности

Микропрепарат дистрофически измененной плаценты при доношенной беременности
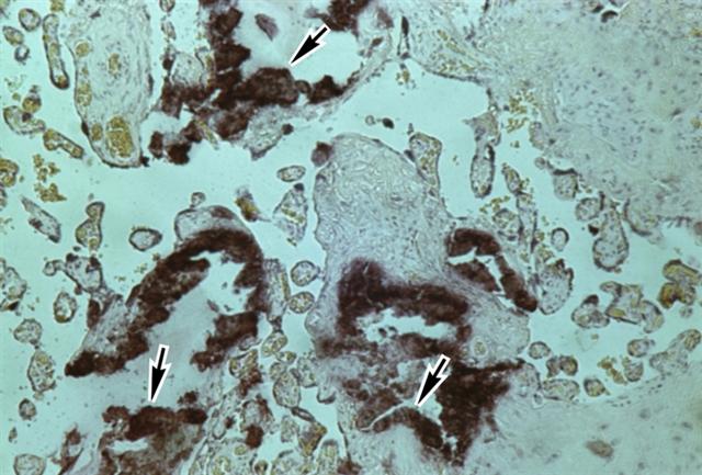
Рис. 4б). Микропрепарат дистрофически измененной плаценты при доношенной беременности: отложения солей кальция (указаны стрелками); окраска гематоксилином и эозином; ´65.