Микропрепарат слизистой оболочки матки

Микропрепарат слизистой оболочки матки

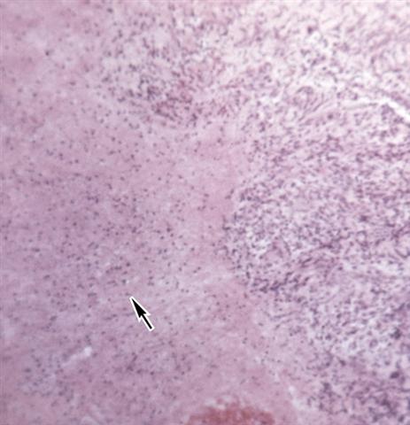
Рис. 14. Микропрепарат слизистой оболочки матки при казеозном туберкулезном эндометрите: в слизистой оболочке матки виден очаг деструкции (указан стрелкой); окраска гематоксилином и эозином; ´100.


Перейти к статье «Туберкулёз внелёгочный»