
|
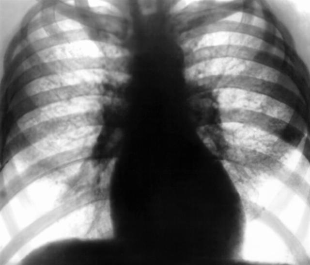
Рис. 1. Обзорная рентгенограмма грудной клетки при II стадии интерстициального пневмокониоза: отмечается сетчатая деформация легочного рисунка, видны многочисленные мелкие затенения, обусловленные перекрестом теней фиброзных тяжей; корни легких неструктурны; базальные отделы легких эмфизематозны. |