Микропрепарат почки при очаговом гнойном пиелонефрите

Микропрепарат почки при очаговом гнойном пиелонефрите

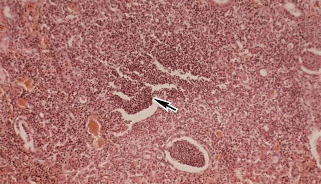
Рис. 2. Микропрепарат почки при очаговом гнойном пиелонефрите: очаг гнойного воспаления (указан стрелкой); окраска гематоксилином и эозином; ´80.


Перейти к статье «Пиелонефрит»