Компьютерная томограмма головы
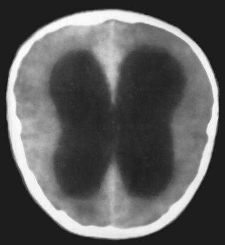
Рис. 2а). Компьютерная томограмма головы при окклюзии на уровне водопровода мозга воспалительного генеза.
Перейти к статье «
Окклюзионный синдром
»