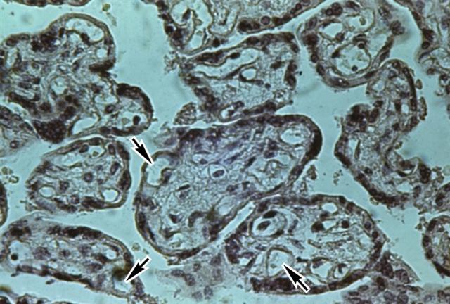
Микропрепарат участка плаценты с компенсаторно-приспособительными изменениями при доношенной беременности

Микропрепарат участка плаценты с компенсаторно-приспособительными изменениями при доношенной беременности
Рис. 5а). Микропрепарат участка плаценты с компенсаторно-приспособительными изменениями при доношенной беременности: гиперплазия капилляров концевых ворсин (расширенные капилляры указаны стрелками); окраска гематоксилином и эозином; ´100.