Ренгенограммы пищевода при сужении его поддиафрагмального сегмента

Ренгенограммы пищевода при сужении его поддиафрагмального сегмента
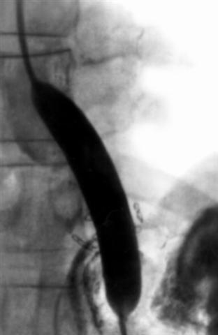
Рис. 3б). Ренгенограммы пищевода при сужении его поддиафрагмального сегмента: в момент баллонной дилатации.