Тетрациклиновые зубы
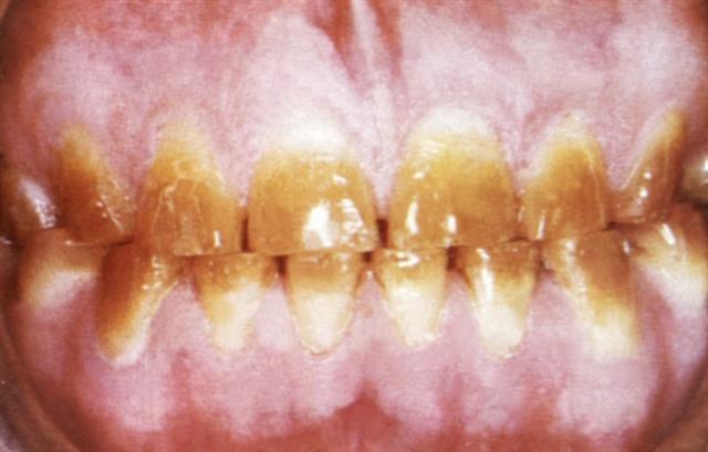
Рис. 7. Тетрациклиновые зубы: коронки окрашены в желтый цвет.
Перейти к статье «
Зубы
»