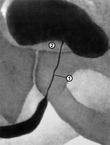
Восходящая уретроцистограмма
Рис. 2. Восходящая уретроцистограмма при аденоме предстательной железы: 1 — суженная предстательная часть уретры; 2 — дефект наполнения мочевого пузыря, обусловленный увеличенной предстательной железой.
Перейти к статье «
Уретрография
»