Рентгенограмма поясничного отдела позвоночника при компрессионном переломе

Рентгенограмма поясничного отдела позвоночника при компрессионном переломе

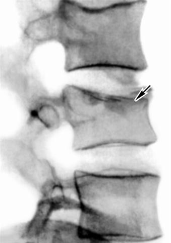
Рис. 10а). Рентгенограмма поясничного отдела позвоночника (боковая проекция) при компрессионном переломе со средней степенью компрессии: стрелкой указано тело поврежденного позвонка.


Перейти к статье «Позвоночник»