Микропрепарат меланомы кожи

Микропрепарат меланомы кожи

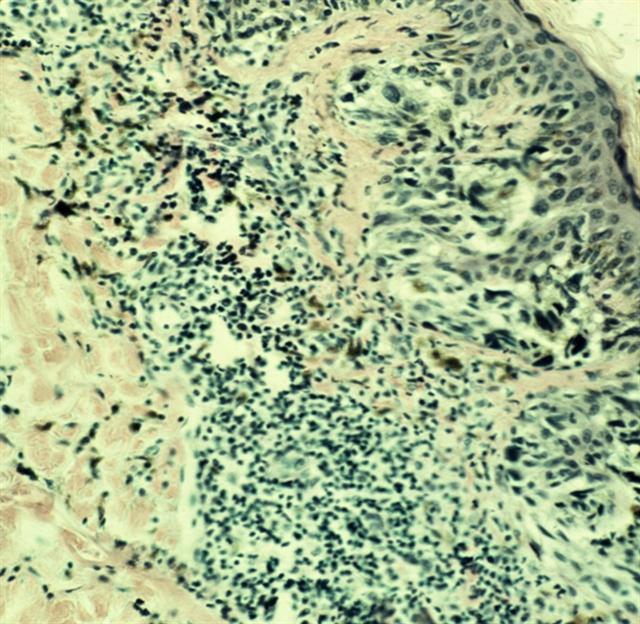
Рис. 2. Микропрепарат меланомы кожи: ячейки опухолевых клеток в сосочковом и сетчатом слоях дермы. Окраска гематоксилином и эозином; ´200.


Перейти к статье «Меланома»