Миелограмма поясничного отдела позвоночника в норме

Миелограмма поясничного отдела позвоночника в норме

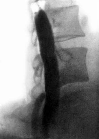
Рис. 4б). Миелограмма поясничного отдела позвоночника в норме: боковая проекция.


Перейти к статье «Позвоночник»