Компьютерная томограмма области турецкого седла больного с соматотропиномой

Компьютерная томограмма области турецкого седла больного с соматотропиномой
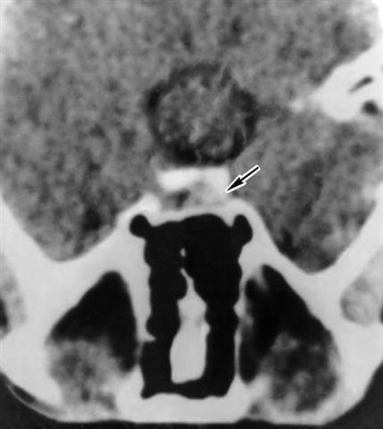
Рис. 2. Компьютерная томограмма области турецкого седла (аксиальная проекция) больного с соматотропиномой (указана стрелкой).