Рентгенограмма позвоночника при кальцификации межпозвоночных дисков

Рентгенограмма позвоночника при кальцификации межпозвоночных дисков

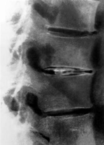
Рис. 7а). Рентгенограмма позвоночника (боковая проекция) при кальцификации межпозвоночных дисков: кальцификация студенистого ядра.


Перейти к статье «Позвоночник»