Компьютерная томограмма при альвеолярном эхинококкозе печени

Компьютерная томограмма при альвеолярном эхинококкозе печени

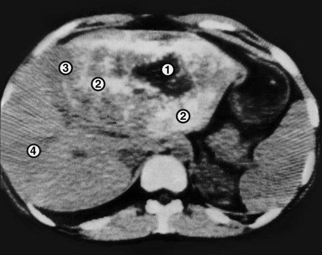
Рис. 4. Компьютерная томограмма при альвеолярном эхинококкозе печени: 1 — полость распада, 2 ткань паразитарного узла, 3 граница зоны поражения, 4 ткань печени.


Перейти к статье «Альвеолярный эхинококкоз»