Компьютерная томограмма головы
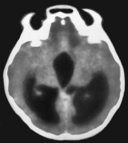
Рис. 2б). Компьютерная томограмма головы при окклюзии IV желудочка объемным процессом: расширение боковых и III желудочков.
Перейти к статье «
Окклюзионный синдром
»