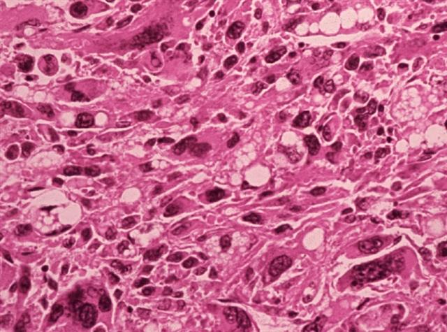
Микропрепараты некоторых опухолей забрюшинного пространства: полиморфная липосаркома

Микропрепараты некоторых опухолей забрюшинного пространства: полиморфная липосаркома
Рис. 3. Микропрепараты некоторых опухолей забрюшинного пространства: полиморфная липосаркома; окраска гематоксилином и эозином; ´50.