Рентгенограмма грудной клетки больного с митральным стенозом

Рентгенограмма грудной клетки больного с митральным стенозом

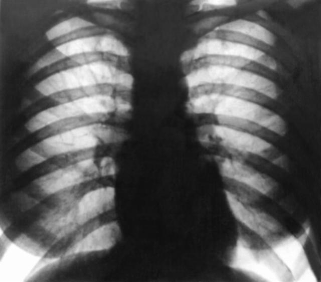
Рис. 10а). Рентгенограмма грудной клетки больного с митральным стенозом (передняя проекция): выбухания третьей дуги по левому контуру тени сердца, поперечник сердечной тени мал.


Перейти к статье «Пороки сердца приобретённые»