Рентгенограмма грудной клетки при ателектазе IV сегмента правого легкого

Рентгенограмма грудной клетки при ателектазе IV сегмента правого легкого

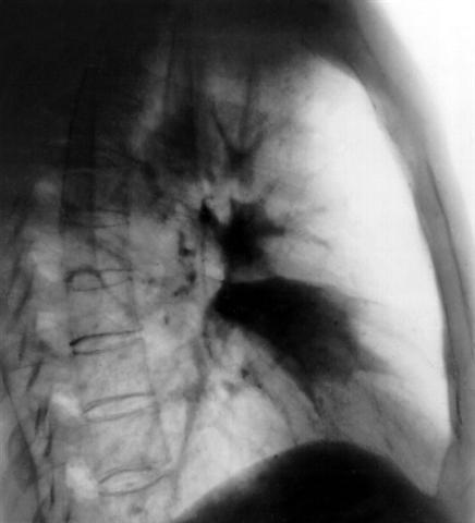
Рис. 3. Рентгенограмма грудной клетки (правая боковая прекция) при ателектазе IV сегмента правого легкого: интенсивное затенение в форме треугольника, обращенного вершиной к корню легкого.


Перейти к статье «Ателектаз лёгкого»