Ультразвуковая картина головного мозга

Ультразвуковая картина головного мозга

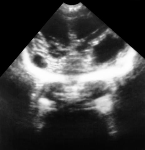
Рис. 2. Ультразвуковая картина головного мозга ребенка с множественными кистами на месте очагов кровоизлияний.


Перейти к статье «Родовая травма новорождённых»