Цветная ЯМР-томограмма головы при опухоли, распространяющейся в правый боковой желудочек

Цветная ЯМР-томограмма головы при опухоли, распространяющейся в правый боковой желудочек
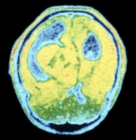
Рис. 2. Цветная ЯМР-томограмма головы (аксиальный срез) при опухоли, распространяющейся в правый боковой желудочек: боковой желудочек растянут и деформирован, продольная борозда смещена (ткань головного мозга и ткань опухоли — желтого цвета, боковые желудочки — синего цвета).