Электронограмма макрофага очага асептического воспаления

Электронограмма макрофага очага асептического воспаления

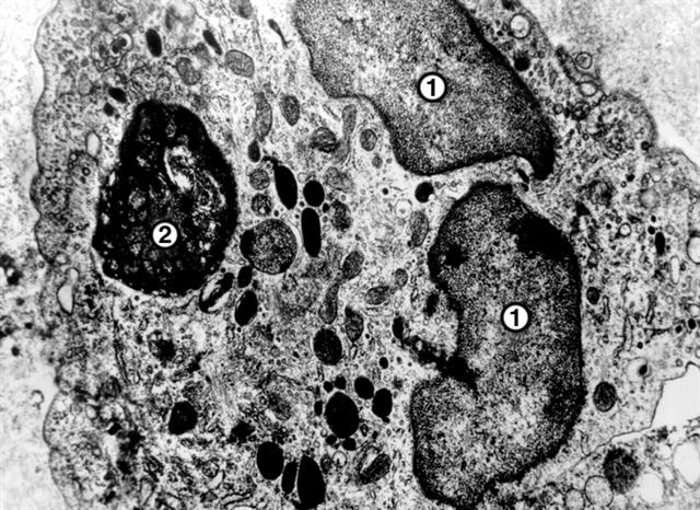
Рис. 2. Электронограмма макрофага очага асептического воспаления: 1 — фрагменты бобовидного ядра; 2 — фагоцитированный материал в пищеварительной вакуоли; ´21000.


Перейти к статье «Система мононуклеарных фагоцитов»