Рентгенологическая картина при различных заболеваниях и поражениях пищевода, сопровождающихся дисфагией

Рентгенологическая картина при различных заболеваниях и поражениях пищевода, сопровождающихся дисфагией

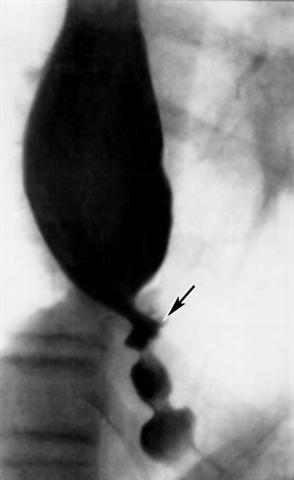
Рис. ж). Рентгенологическая картина при различных заболеваниях и поражениях пищевода, сопровождающихся дисфагией: рефлюкс-эзофагит, осложненный склерозом и изъязвлением (указано стрелкой) стенки пищевода.


Перейти к статье «Дисфагия»